Анкерный болт. Принцип работы. Установка
Анкеры, принцип работы анкерного болта
ЧТО ТАКОЕ АНКЕРНЫЙ БОЛТ - ПРИНЦИП ДЕЙСТВИЯ ✔ Смотри и учись!
Анкерный болт. Установка принцип работы.
Анкер болт с гайкой
Рекомендуем:
КАК ПРИГОТОВИТЬ ПШЕНО ДЛЯ РЫБАЛКИ НА КАРАСЯ ВИДЕО
КАК СОБРАТЬ СЕМЕНА КАБАЧКОВ В ДОМАШНИХ УСЛОВИЯХ ВИДЕО
КАК СНЯТЬ БЕНЗОБАК НА ВАЗ 2107 ИНЖЕКТОР ВИДЕО
КАК ПРАВИЛЬНО СУШИТЬ БОЯРЫШНИК В ДОМАШНИХ УСЛОВИЯХ ВИДЕО
КАК ВСТАВИТЬ ЗАДНЕЕ СТЕКЛО НА ВАЗ 2106 ВИДЕО
КАК ПРИГОТОВИТЬ ЯБЛОЧНЫЙ СИДР В ДОМАШНИХ УСЛОВИЯХ ВИДЕО
КАК УЗНАТЬ БОНУСЫ М ВИДЕО ПО НОМЕРУ ТЕЛЕФОНА
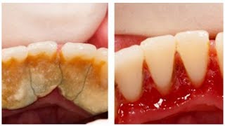
КАК ПОЧИСТИТЬ ЗУБНОЙ КАМЕНЬ В ДОМАШНИХ УСЛОВИЯХ ВИДЕО
КАК ПРАВИЛЬНО ПОСТАВИТЬ МАГНИТ НА СЧЕТЧИК ВОДЫ ВИДЕО
КАК ОТРЕМОНТИРОВАТЬ ПУЛЬТ ОТ ТЕЛЕВИЗОРА СВОИМИ РУКАМИ ВИДЕО
5615
КАК ПРИГОТОВИТЬ ИКРУ ГОРБУШИ В ДОМАШНИХ УСЛОВИЯХ ВИДЕО
5076
КАК СНЯТЬ ТОРПЕДУ НА ВАЗ 2114 ВИДЕО РАЗБОРКА
3488
КАК ИЗМЕНИТЬ КАЧЕСТВО ВИДЕО С 360 ДО 720
1733
КАК НАЧАТЬ СНИМАТЬ ВИДЕО НА YOUTUBE ПРО ИГРЫ
2092
КАК В ПИНАКЛЕ ПОВЕРНУТЬ ВИДЕО НА 90 ГРАДУСОВ
6486
КАК РЕЗАТЬ КАЛЕНОЕ СТЕКЛО В ДОМАШНИХ УСЛОВИЯХ ВИДЕО
4792
КАК ПОСТАВИТЬ БРАГУ НА ПШЕНИЦЕ НА САМОГОН ВИДЕО
4619
© 2026 all-hi-fi.ru